Passer au contenu
Science

Des scientifiques découvrent une cause potentielle majeure des maladies inflammatoires de l’intestin

Des chercheurs au Royaume-Uni ont découvert des preuves d’une voie génétique spécifique qui peut amener les cellules immunitaires à s’activer sur le corps et à attaquer le intestins des personnes atteintes de MII.
Par

Temps de lecture 4 minutes

Des chercheurs au Royaume-Uni semblent avoir découvert une cause génétique essentielle des maladies inflammatoires de l’intestin. Dans une nouvelle étude mercredi, l’équipe a découvert preuve d’un défaut génétique spécifique qui semble jouer un rôle clé en poussant les cellules immunitaires à attaquer les intestins des personnes atteintes de MII ; une faille trouvée dans presque tous les cas qu’ils ont étudiés. La découverte pourrait conduire à la réutilisation de traitements nouveaux et existants pour les MII, le disent les auteurs.

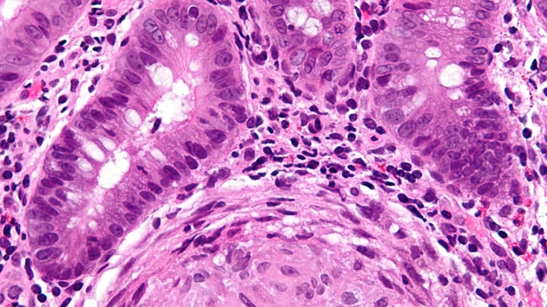
La maladie inflammatoire de l’intestin est une maladie débilitante et complexe. état digestif. Les deux principaux types de MII sont connus sous le nom de colite ulcéreuse et de maladie de Crohn, toutes deux caractérisées par une inflammation dommageable le long de la tube digestif. Les symptômes ont tendance à aller et venir sous forme de poussées et comprennent des douleurs abdominales, de la fatigue, de la diarrhée, des saignements rectaux et une perte de poids.

La cause fondamentalement des MII est un dysfonctionnement du système immunitaire qui endommage chroniquement l’intestin. Mais le raisons exactes Les raisons pour lesquelles cela se produit ne sont pas encore claires et peuvent varier d’une personne à l’autre. On pense que la génétique est un facteur important, car Les MII peuvent être héréditaires.

La nouvelle recherche a été dirigée par des scientifiques du Francis Crick Institute, ainsi que du University College de London et de l’Imperial College de London. Ils ont examiné de plus près une région particulière de notre code génétique qui a été précédemment liée aux MII et aux maladies auto-immunes. parmi beaucoup d’autres de notre génome, connus comme un désert génétique, rempli de gènes qui ne codent en réalité pour aucune protéine. Alors que nous pensions que ces déserts ne contenaient rien d’autre que de l’ADN « indésirable », nous savons maintenant qu’ils peuvent avoir une influence significative sur d’autres, plus clairement fonctionnels. , gènes.

Dans ce désert, l’équipe a identifié une section d’ADN importante pour lesmacrophages, des cellules immunitaires qui nous protègent normalement des germes mais peuvent également l’inflammation trouvée chez les patients atteints de MII. L’extrait d’ADN est connu comme un activateur et il semble affecter directement l’activité d’un gène appelé ETS2.

Les expériences d’édition de gènes de l’équipe ont révélé que l’ETS2 est crucial pour la capacité des macrophages à déclencher l’inflammation, y compris le mauvais type qui entraîne aux MII. Ils ont également découvert que modifier ETS2 pour qu’il soit plus actif pourrait faire en sorte que les macrophages en laboratoire ressemblent à ceux observés chez les patients atteints de MII. . Et quand ils ont examiné la constitution génétique des patients MII, ils ont découvert que 95 % des patients de leur échantillon au moins une copie d’une variante d’amélioration spécifique qui semble stimuler l’activité d’ETS2. Les découvertes de l’équipe ont été publié mercredi à Nature.

« En utilisant la génétique comme point de départ, nous avons découvert une voie qui semble jouer un rôle majeur dans les MII et d’autres maladies inflammatoires. », a déclaré James Lee, auteur principal de l’étude, chef de groupe du laboratoire des mécanismes génétiques des maladies au Crick, dans un déclaration de l’institut.

Des recherches supplémentaires devront être effectuées pour confirmer et mieux comprendre à quel point cette variante et le gène ETS2 sont importants pour le développement de MII. Mais étant donné à quel point elle semble courante chez les personnes atteintes de la maladie, le travail de l’équipe pourrait indiquer une étape clé en avant pour la MII. Les médicaments actuels et la gestion du mode de vie autour de déclencheurs connus peuvent aider beaucoup de personnes, mais environ la moitié des patients ne répondent pas au traitement initial, et moins nombreux sont ceux qui connaissent encore une rémission durable.

Il n’existe actuellement aucun médicament spécifiquement conçu pour cibler la ETS2. Mais l’équipe a trouvé des preuves dans les macrophages de laboratoire et dans les cellules intestinales prélevées. directement auprès des patients qu’une classe existante de médicaments auto-immunes, connus sous le nom d’inhibiteurs de la MEK, devrait être capable de calmer l’inflammation déclenchée par ETS2. L’équipe prévoit maintenant de développer un moyen d’administrer ces médicaments directement aux macrophages, ce qui devrait réduire leur côté connu -effets. Et avec un peu de chance, des essais cliniques avec de vrais patients pourraient avoir lieu au cours des cinq prochaines années.

« Cette recherche constitue une étape vraiment passionnante vers la possibilité d’un jour un monde sans maladie de Crohn et colite », a déclaré Ruth Wakeman, directeur des services, du plaidoyer et des preuves chez Crohn’s & Colitis UK, une organisation caritative qui a aidé à financer le travail de l’équipe dans une déclaration du institut.

Ce contenu a été traduit automatiquement à partir du texte original. En raison des nuances de traduction, il peut y avoir de légères différences.Pour la version originale, cliquez-ici.

Partager cet article